شتريد تشتري اليوم؟
٤٢٥٬٠٠٠ دينار
عرض خاص ب ٤٢٥ السلام عليكم اخوان هاي الدراجة اخذتهة نهاية ال١٩ بس اور...
بالاتفاق
يتوفر قاصر وفلاش مزيل دهون مزيل تكلسات كلة الاصلي
بالاتفاق
تعلن عيادات الصفوه التخصصية لطب الأسنان عن بدء استقبالها للمراجعين وت...
بالاتفاق
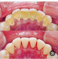
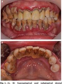
إلي أسنانه تعبانه وعنده تكلسات وتصبغات بأسنانه مثل الصوره أدناه نكدر ن...
بالاتفاق
مرحبًا اني طالبة طب اسنان مرحلة رابعة الي عنده مثل الحالات الي بالصور...
بالاتفاق
العلاج مجاناً قلع الاسنان المتحركة والجذور المتبقية واسنان العقل حشوات...
بالاتفاق
العلاج مجاني بالكامل اي احد عندة هيج تكلسات يتواصل وياية الموقع : عيا...
بالاتفاق
تعلن عيادات جامعة الصفوة التخصصية لطب الأسنان عن بدء استقبالها للمراجع...
بالاتفاق
متوفر تنظيف (مجاني) وعلاج للـ لثة! عندك تكلسات وتصبغات بأسنانك؟؟ للحج...
بالاتفاق
تعلن عيادات جامعة اللصفوه التخصصية لطب الأسنان عن بدء استقبالها للمراج...
بالاتفاق
عروض على قسم الاسنان في عيادة الدكتورة ميادة حسن لطب وتجميل الاسنان ال...
بالاتفاق
#ادخل_للصفحه_واشتري_لي_محتاجه #جميع_المواد_موجود_داخل_الصفحه ...
بالاتفاق
فرق العمل قبل التلميع والتنظيف وبعد التلميع والتنظيف بعد دخول عدة كواد...
بالاتفاق
الي عنده هيج تكلسات ويريد يعالجها يتواصل وياي ع الرقم 07848959801 واتس...
بالاتفاق
مرحباً " مجاني وتحت اشرافي واطباء متخصصين الي عندة تكلسات بأسنانه ويح...
بالاتفاق
الي محتاج تنظيف وتبيض وازاله تكلسات اسنانه يتواصل ويانه على هذه الرقم ...
بالاتفاق
متوفر عدنا هاي الحالات للعلاج: _حشوات _قلع الاسنان وبقايا جذور _تنظ...
بالاتفاق
الي محتاج تنظيف وازالة تكلسات مجاني خل يتواصل وياي 07765202733 مكان شا...
بالاتفاق
وياكم الدكتورة شهد عامر الي محتاج حشوه ضوئيه للاسنان الامامية وخلفية ...
بالاتفاق
الي محتاج تنضيف للأسنان وعندة تكلسات _ الي محتاج قلع الاسنان والجذور ...
راقی — سوق الإعلانات في بغداد
راقی يساعدك تگّي الإعلانات الجديدة والمستعملة بكل الأقسام. استخدم البحث أو الفلاتر حتى توصل للإعلان المناسب بسرعة.
من نصائحنا: اقرأ التفاصيل، شوف الصور بوضوح، واتفق على مكان آمن للمعاينة قبل الشراء.
